貓膽管炎 (Feline cholangitis)
|貓膽管炎 (Feline cholangitis)
貓膽管炎是貓肝膽疾病中常見的疾病之一,好發率僅次於脂肪肝。根據2006年世界小動物獸醫協會 (World small animal veterinary association, WSAVA)的分類,可將貓膽管炎分成嗜中球性膽管炎、淋巴球性膽管炎,以及由肝蛭引發的慢性膽管炎 (因台灣少見,此篇不列入討論)。貓膽管炎的發炎反應大多聚集在膽道,因此建議稱作膽管炎而非膽管肝炎。
|嗜中球性膽管炎
嗜中球性膽管炎是最常見的貓炎症性肝病,顧名思義就是嗜中性球浸潤肝內膽管壁或管道。其中,細菌感染是最主要的病因。胰臟炎、炎症性腸病 (IBD) 經常與嗜中球性膽管炎併發。
臨床症狀通常不具特異性,包括厭食、嘔吐、消瘦或發燒都有可能出現。和淋巴球性膽管炎相比,嗜中球性膽管炎通常會造成更高的嗜中性球上升,ALT、Tbil上升幅度也較高。
|淋巴球性膽管炎
淋巴球性膽管炎大多被認為和免疫媒介疾病有關。依據地區的不同,有不同好發的年齡層和品種。臨床症狀類似嗜中球性膽管炎,不過症狀上通常較慢性、時好時壞。在部分有腹水的病例當中需小心和貓的傳染性腹膜炎(FIP) 作區別。
|腹腔超音波檢查
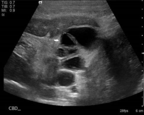
嗜中球性和淋巴球性膽管炎在超音波影像上並沒有明顯的差別。超音波影像下可能會看到增厚的膽囊壁 (> 1 mm)、總膽管扭曲擴張 (>4 mm)、膽囊內有高回音物質沉積、肝臟回音性增高及肝腫大等異常 (圖1)。值得注意的是,並非所有膽管炎都會呈現影像上的異常。狗的膽泥沉積很常是不具臨床意義的,但在貓若看到膽泥沉積的影像,就必須懷疑可能有膽囊炎或其它任何會造成膽泥排出異常的疾病。

圖1、這隻患有膽管炎的貓在超音波下可見總膽管明顯擴張且扭曲 (白色箭頭)、膽囊壁增厚,且膽道內有一些高回音物質。
|檢體採樣方式
1. 超音波導引經皮膽囊穿刺術
以超音波導引做經皮穿刺膽囊抽取膽汁,可做細胞抹片檢查 (圖2),同時進行好氧及厭氧的細菌培養檢驗。以20-22G、1.5英吋的針頭搭配10 ml針筒,由右側腹部經右肝葉進入膽囊,並盡可能一次將膽汁全部抽出,可避免膽汁從採樣孔滲漏至腹腔內。嗜中球性膽管炎的膽汁外觀可能呈現膿汁樣且有臭味。細菌培養檢驗結果有利於抗生素治療的選擇,最常見的為 Escherichoa coli,然而仍有部分病例會得到陰性的細菌培養結果而增加治療上的困難。在貓的膽管炎很少見非細菌性的病原,藉由細胞抹片檢查可幫助辨識這些病原。
.png)
圖2、一隻患貓的膽汁抹片下可見大量退行性嗜中性球、球狀及桿狀細菌 (以Diff-Quik染色)。
2. 肝臟採樣
膽管炎的最終診斷需仰賴肝臟的組織採樣和陽性的膽汁細菌培養結果。肝臟的細針採樣結果通常不具特異性、不易看到細菌、和組織病理結果一致性差,只能協助診斷併發的脂肪肝或淋巴癌。嗜中球性膽管炎的病理特色主要為嗜中性球及少量的淋巴球和漿細胞浸潤門脈。而淋巴球性膽管炎則主要為淋巴球 CD3+ T cells浸潤。
|治療
1. 抗生素
在尚未取得細菌培養結果之前,可選用有效抑制腸道G(-) 好氧菌且較不會造成肝膽負擔的抗生素,如cephlosporins, penicillin, fluoroquinolone等。可併用metronidazole 7.5 mg/kg q12h 來對抗厭氧菌。若確診是嗜中球性膽管炎,抗生素治療時間建議持續至少4-6週。
2. 類固醇
淋巴球性膽管炎主要以類固醇來控制發炎。建議給予prednisolone 1-2 mg/kg q12h PO。若臨床症狀及血檢進步,則可在4-6週內逐漸減量。部分的貓可能須長期使用類固醇控制。
部分嗜中性球膽管炎的病患若對抗生素治療反應不佳,可嘗試投予類固醇治療。
3. 支持治療
在臨床症狀不佳的病患,需給予輸液校正脫水及電解質異常 (尤其低血鉀、低血磷)、積極給予營養 (餵食管裝置)、止痛、止吐。若病患有凝血功能異常,建議在進行肝膽採樣前先施打vitamin K (0.5-1.5 mg q12h SC, IM)。
止吐可以使用maropitant (Cerenia) 1 mg/kg q24h PO, SC, IV,但因maropitant經由肝臟代謝,因此在嚴重肝損傷的情況下建議使用較低劑量 (0.5 mg/kg q24h PO, SC, IV)。也可以選擇5-HT3拮抗劑如Ondansetron (0.1-1 mg/kg)。Metoclopramide這種dopaminergic antagonist對於促進上消化道蠕動有一定的效果,但因貓的中樞化學接受器觸發區 (CTZ) 內的dopamine接受器很少,止吐效果可能不佳。
其他藥物如silymarin, S-adenosylmethionine, ursodeoxycholc acid (UDCA), cobalamin (vitamin B12) 等皆可能有助於治療膽管炎。有些醫師會避免在有膽管阻塞疑慮的狀況下給予ursodeoxycholc acid,以免導致膽管或膽囊破裂而使症狀惡化,不過目前並無臨床實驗證實此論點。
|參考文獻
1. Rothuizen, Jan & Mussa, Geoffrey & Charles, et al. WSAVA Standards for Clinical and Histological Diagnosis of Canine and Feline Liver Diseases. 2006.
2. Mark P. Rondeau. Hepatitis and Cholangiohepatitis. Small Animal Critical Care Medicine. 2009: 547-551.
3. Boland L, Beatty J. Feline Cholangitis. Vet Clin North Am Small Anim Pract. 2017 May;47(3):703-724.
4. David C. Twedt, P. Jane Armstrong, et al. Kurk’s Current Veterinary Therapy XV. Elsevier Saunders, 2014. 614-619.
5. Craig B. Webb. Evidence-Based Medicine Ultrasound-Guided Percutaneous Cholecystocentesis in the Cat. Vet Clin Small Anim 50. 2020, 1123–1134.
6. Byfield VL, Clark JEC, Turek B, et al. Percutaneous cholecystocentesis in cats with suspected hepatobiliary disease. J Feline Med Surg 2017; 19 :1254–60.






